• Free

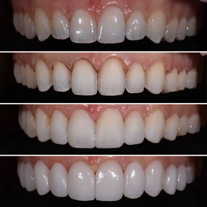
Veneer Roadmap: How to never miss a step

Ready to streamline your veneer workflow and boost your clinical confidence?
This detailed checklist is your shortcut to mastering every phase of the veneer process from no prep to cementation.

Dr. Tejas Patel shares a behind-the-scenes look at his Veneer Blueprint framework and gives you 7 detailed checklists that walk you through:

  • No Prep Veneer Protocol

  • Wax-Up & Smile Design Appointment

  • Day of Prep Visit

  • Veneer Prep Sequence Overview

  • Making Shrink Wrap Temporaries

  • Veneer Try-In & Bonding Steps

  • Final Delivery Appointment

These are the exact systems Dr. Patel teaches in his full Veneer Blueprint Course, now available in this streamlined, budget-friendly training. Whether you’re just getting started or want to improve consistency and results, this will level up your veneer game.

✔ Instant Access
✔ Downloadable PDF Checklists
✔ Exclusive Preview of the Veneer Blueprint Course
✔ No fluff, just practical systems that work

Get the tools to do veneers with clarity and confidence today.