• Free

Veneer Road Map: How to Never Miss A Step With Porcelain Veneers

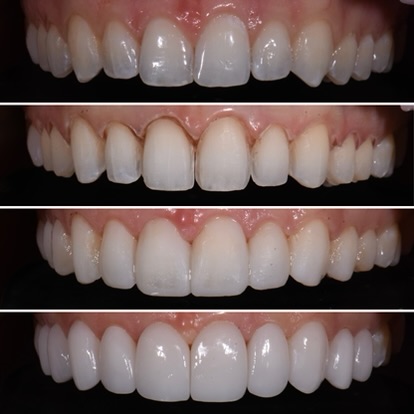
Preview of the Veneer Blueprint + Downloadable Checklists Want to simplify and systematize your veneer workflow? This quick, value-packed downloadable checklists will help you stop second-guessing and start moving confidently from consult to cementation. This training includes 7 downloadable checklists used daily in his Austin-based cosmetic practice and gives you a preview of the full Veneer Blueprint Course.